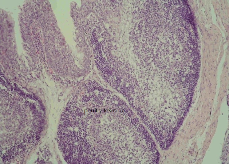
об’єм і насамперед масу органів, використовуючи показник індексу тимуса, який визначають як відношення маси тимуса до маси птиці. За даними Апатенка В.М., відношення маси тимуса у курчат в нормі коливається у межах 3,5-4. Частки тимуса пружньої консистенції, соковиті, округлі. При важких імунодефіцитних станах індекс тимуса знижується до 1,5 і нижче. Сам він перетворюється на мало помітні тяжі з плоскими часточками, різко зменшені в об’ємі.
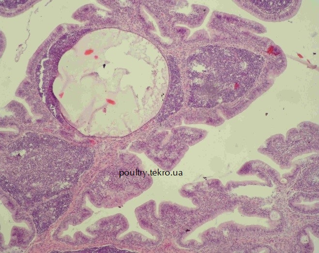
Фабрицієва бурса при імунодефіциті також змінюється. В нормі у курчат її індекс становить 1,5-2,5. Вона має вигляд округлого утворення величиною у невеликий лісний горіх. За імунодефіциту він знижується до 1 і нижче. Під час огляду такої бурси відмічають дряблість, м’якість, сіруватість забарвлення. Вона зменшується до незначних розмірів, стає слабо помітною при огляді серозної поверхні клоаки. Патогістологічними дослідженнями, залежно від тяжкості імунодефіциту, спостерігають зменшення кількості лімфоцитів у кірковому шарі тимуса, інверсію кіркового та мозкового шарів, звільнення від лімфоцитів обох тимусних зон.
У фабрицієвій бурсі мікроструктурні зміни виражені насамперед у лімфоїдних фолікулах, які зменшуються у розмірах переважно за рахунок кіркового шару, який витончується, зберігаючи лімфоїдні клітини, які розміщуються у 2-3 ряди. Мозковий шар фолікулів стає світлішим, за рахунок зменшення кількості лімфоцитів та оголення ретикулярного каркасу в якому можуть формуватись кисти і залозистоподібні структури.
Зменшення селезінки у розмірах є наслідком зменшення лімфоїдної тканини, що свідчить про імунодефіцитний стан.
Рис. 1. Тимус. Інверсія кіркового та мозкового шарів при імунодефіциті.

Рис. 2. Тимус. Зменшення кіркового шару тимуса. Поява значної кількості тілець Гассаля.

Рис. 3. Фабрицієва бурса. Оголення ретикулярного каркасу, зменшення кількості лімфоцитів у мозковому шарі.

Рис. 4. Фабрицієва бурса. Утворення кіст у лімфоїдних вузликах при імунодефіцитах.

Імуноморфологічні показники мають важливе діагностичне значення, яке слід враховувати при визначенні імунного статусу птиці, особливо на мікроскопічному рівні.
Щебентовська Ольга, к.в.н., кафедри нормальної та патологічної морфології і судової ветеринарії ЛНУВМ та БТ імені С.З. Ґжицького, науковий консультант ТОВ «ТЕКРО»





