Вірус ХМ в організмі птиці персистує, в основному, в Т-лімфоцитах. При цьому утворюються лімфоми Т-клітинного походження, на відміну від В-клітинних лімфом лейкозу і ретикулоендотеліозу. У лабораторних умовах вірус культивується на курячих та качиних ембріонах, культурі клітин фібробластів і нирок курей, перепелів, індиків. З 6 виявлених антигенів вірусу хвороби Марека найбільш важливі – це А, В і С антигени. В організмі птиці вірус хвороби Марека індукує вироблення специфічних преципітуючих антитіл, які і нейтралізують вірус.
Виділені віруси хвороби Марека поділяють на 3 серотипи:
1 серотип - об'єднує патогенні (або онкогенні) віруси ХМ і атенуйовані штами цих вірусів;
2 серотип - включає природно атенуйовані штами вірусу ХМ;
3 серотип - герпес вірус індичок.
Вірус хвороби Марека, на сьогодні, реєструється досить часто як серед птиці яєчного напрямку, так і м'ясного і досягнути повного благополуччя щодо даного захворювання практично неможливо, тому що вірус постійно персистує в курчатах, дуже стійкий у зовнішньому середовищі і легко передається сприйнятливій птиці.
Застосування вакцин - є ефективним методом боротьби з хвороби Марека, але використання живих вакцин сприяє виникненню більш вірулентних штамів вірусу. Підвищення вірулентності вірусу хвороби Марека базується на конкуренції двох штамів вірусу (вакцинного і польового) за одну клітинну мішень. Зараження польовим штамом вірусу хвороби Марека курчат передує розвиток поствакцинального імунітету. У такій ситуації всередині організму польовий штам вірусу впливає на імунну систему птиці. В результаті такої взаємодії з'являються високовірулентні форми вірусу хвороби Марека. Існує пряма залежність між застосуванням нових вакцин і виникненням нових високовірулентних штамів вірусу хвороби Марека. При існуючій системі профілактики живими вакцинами, ґрунтуючись на епізоотичній історії розвитку хвороби Марека, можна припустити, що прогресування вірулентності польових штамів вірусу хвороби Марека триватиме і надалі.
Сприйнятливими до зараження вірусом хвороби Марека є кури, індики, перепела, фазани, цесарки, качки, лебеді, куріпки і деякі інші види птиці, які можуть бути вірусоносіями і джерелом інфекції.
Джерелом інфекціїє хвора і перехворіла птиця. Останні, упродовж 14-16 місяців після зараження (і не виключено, що довічно) є вірусоносіями. У неблагополучних, по хворобі Марека, господарствах кількість птиці, що є вірусоносіями може становити від 10 до 98 %. У природних умовах кількість вірусоносіїв іноді досягає 60-70 % від кількості обстеженої птиці.
Основний шлях передачі збудника: аерогенний, з часточками пилу, що містять епітеліальні клітини пір'яних фолікулів, в яких знаходиться вірус. Здатність вірусу зберігатися на поверхні яєць часто стає причиною перезараження курчат в інкубаторі. Існує можливість передачі вірусу з продуктами забою птиці. Швидкому поширенню інфекції сприяє висока концентрація птиці, особливо при клітковому утриманні.
Клінічні ознаки корелюються і залежать від типу збудника.
При першому типі - вірус проходить повний репродуктивний цикл розвитку в епітелії пір'яних фолікулів курчат, з утворенням вірусної суперкапсидної оболонки і формуванням вірулентного віріона. Неповний цикл розвитку вірусу відбувається в деяких лімфоїдних і епітеліоїдних клітинах. При цьому формується неповноцінний, без суперкапсидної оболонки віріон (антиген), який не є інфекційним.
Другий тип - латентна інфекція, де вірус реплікується в Т-клітинах з утворенням пухлин у внутрішніх органах курей.
Третім типом є трансформована інфекція, яка зустрічається тільки в Т-лімфоцитах, а збудником є виключно вірулентний штам вірусу хвороби Марека. При трансформованому типі інфекції відбувається обмежена експресія геному вірусу ХМ. Заражені вірусом курчата в подальшому стають вірусоносіями і є джерелом інфекції.
Клінічний прояв ХМ у курей залежить від форми захворювання. Розрізняють «класичну» і гостру форми хвороби. При класичній формі характерні ураження периферичної та центральної нервової систем з різноманіттям можливих симптомів, які залежать від того, який нерв уражений. Може спостерігатися кульгавість, парези і паралічі кінцівок, хвоста, шиї. Відбувається зміна форми і розмірів зіниці, кольору райдужної оболонки («сіроокість»). Смертність при класичній формі становить 3-7 %, але може досягати 30 %. Підвищений відхід птиці спостерігається в 3-5-місячному віці. У випадку, коли переважають ураження органів зору, то смертність є меншою, але значні втрати від зниження продуктивності.
Гостра форма хвороби Марека супроводжується утворенням лімфоїдних пухлин в різних органах і тканинах. Тривалість інкубаційного періоду від 2 тижнів до 2-5 місяців. Симптоми ураження нервової системи при гострій формі проявляються рідко, але у курчат 1-2-місячного віку можливі масові, але короткочасні прояви «нервових» ознак захворювання у вигляді парезів і паралічів, що характерно для початкової стадії хвороби. При цьому, упродовж 5-7 днів перехворіють більшість курчат, потім ознаки ураження нервової системи не проявляються. Проте, через 3-6 тижнів після появи перших клінічних ознак, значно збільшується загибель птиці з переважно пухлинними ураженнями внутрішніх органів.
Значно рідше, у курей проявляється типова «шкірна» форма хвороби Марека з ураженнями пір'яних фолікулів і формуванням в шкірі пухлин.
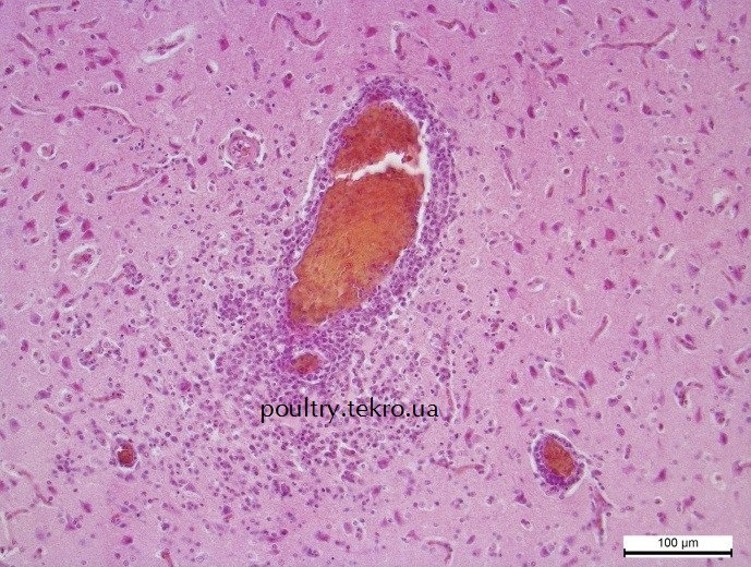
На ранній, гострій стадії хвороби відзначається лізис і загибель уражених Т- і В-лімфоцитів, і, як наслідок - розвивається імунодепресія. Деякі, високовірулентні штами майже повністю руйнують лімфоїдну тканину тимуса, викликаючи загибель 25 % птиці упродовж 2 тижнів. Зазвичай, в середньому через тиждень після початку розвитку інфекції, хвороба переходить в латентну стадію, а вірус персистує в Т-лімфоцитах протягом усього життя птиці. Іноді відбувається злоякісна трансформація Т-лімфоцитів, що завершується розвитком паралічів, а також формуванням пухлин у внутрішніх органах, в тому числі яєчниках і сім'яниках, наднирниках, нирках тощо.
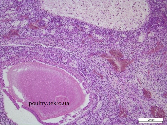
Патологоанатомічні зміни при класичній формі хвороби Марека проявляються локальним або дифузними потовщенням плечового і попереково-крижового нервових сплетінь, нервових стовбурів, сідничних нервів. Останні можуть бути потовщені в 1,5-3 рази, іноді з наявністю поодиноких або множинних вузликів різної величини. Під час гістологічного дослідження нервів відзначається набряк, дистрофія нервових волокон і мієлінової оболонки, розпад нервових волокон, вогнищева або дифузна інфільтрація нервів лімфоїдними клітинами, серед яких можуть зустрічатися плазматичні клітини та інші. Залежно від клітинного складу інфільтрату розрізняють зміни запального або неопластичного характеру, але, мабуть, співіснують обидва типи ураження нервів, а ступінь їх прояву залежить від стадії хвороби. Крім того, при ХМ відзначається демієлінізація нервових стовбурів, що розглядається як аутоімунна патологія. Зміни в центральній нервовій системі відзначають дещо рідше, як правило, на ранньому етапі хвороби (через 10 днів після зараження, і проявляються вони скупченням зрілих лімфоцитів навколо судин білої і сірої речовини головного мозку. Можлива інфільтрація лімфоїдними клітинами м'яких мозкових оболонок. При гістологічному дослідженні уражених очей спостерігається інфільтрація райдужної оболонки і зорового нерва дрібними мононуклеарнимі клітинами.
При гострій формі захворювання характерними є пухлини різної конфігурації і розмірів в нирках, печінці, залозистому шлунку, селезінці, статевих органах, легенях, серці, м'язах, шкірі та інших органах і тканинах. Також відбувається потовщення і зміна забарвлення нервових сплетінь і нервових стовбурів.

Рис. 1. Утворення пухлин в паренхімі печінки

Рис. 2. Пухлинні утворення на серозних покривах кишечника

Рис. 3. Потовщення стінки залозистого шлунка

Рис. 4. Збільшення селезінки з пухлиноподібним розростанням у паренхімі

Рис. 5. Пухлинні розростання в серці

Рис. 6. Потовщення попереково-крижових нервів
При гістологічному дослідженні пухлинних утворень виявляють неопластичні, запальні та імунологічно активні клітини, в тому числі лімфоцити, плазматичні клітини і гістіоцити. Переважають дрібні лімфоїдні клітини з компактним ядром і вузькою смугою цитоплазми. Неоплазми починають формуватися в периваскулярній тканині різних органів. З'являються невеликі проліферати з примітивних клітин, які пізніше диференціюються в лімфоїдні, гістоцітарні та плазматичні клітини. Вогнища з новоутворених клітин збільшуються в розмірах, зливаються у великі ділянки, а паренхіма і строма органів поступово заміщається пухлинними клітинами. Ступінь ураження може бути така, що в органі під мікроскопом можна виявити лише окремі характерні органу структури.
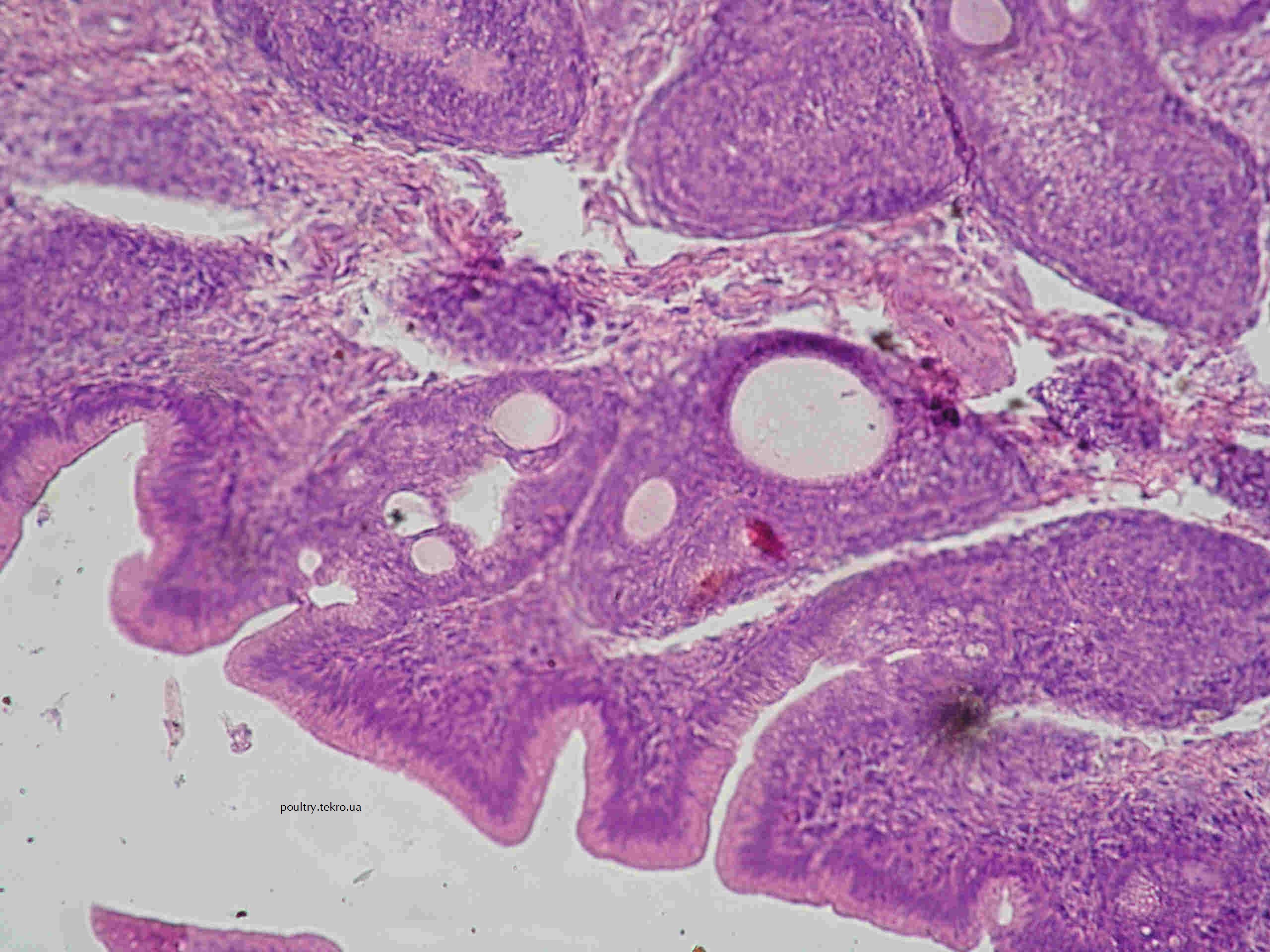
При хворобі Марека уражаються органи імунної системи. Клоакальна сумка може бути зменшена в розмірі або атрофована, в окремих випадках у ній формуються пухлиноподібні розростання. Лімфоїдні вузлики клоакальної сумки атрофуються, а на їх місці формуються кістозні порожнини. При цьому міжфолікулярні сполучнотканинні перегородки потовщені і інфільтровані лімфоїдними клітинами. На ранніх стадіях захворювання пухлинні вогнища формуються периваскулярно в міжфолікулярних сполучнотканинних перегородках в одній або в декількох складках слизової оболонки. З часом, при збільшенні пухлинних вогнищ лімфоїдні вузлики атрофуються або інфільтруються пухлинним проліфератом і зливаються (заміщуються) неопластичною тканиною. Проте, найчастіше у клоакальній сумці спостерігають гіпоплазію, аж до атрофії лімфоїдних вузликів і утворення на їх місці великих кістозних порожнин.

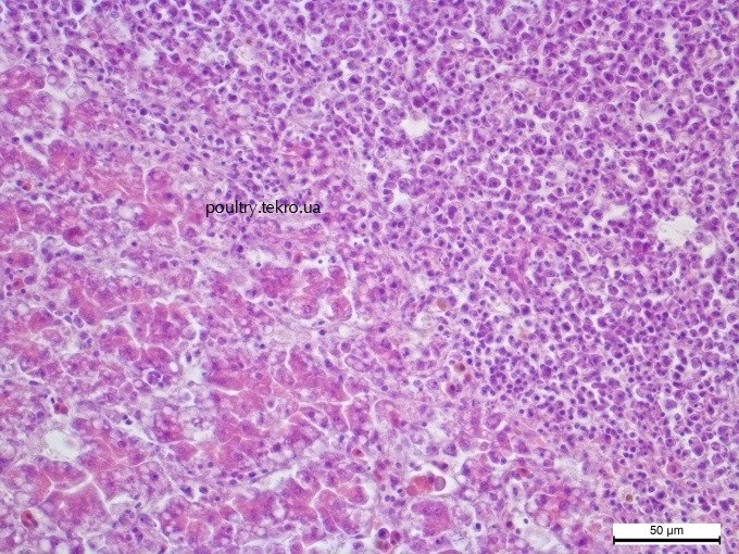
Рис. 7. Дифузна інфільтрація в паренхімі печінки поліморфними лімфобластними клітинами з некробіотичними змінами в гепатоцитах. Гематоксилін та еозин. х 400

Рис. 8. Печінка. Дифузна інфільтрація паренхіми лімфобластними клітинами. Некроз гепатоцитів. Гематоксилін та еозин. х100

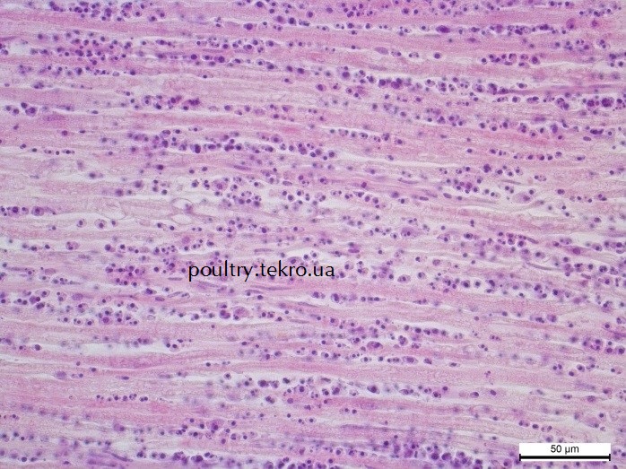
Рис. 9. Проліферація плечового нерву лімфобластними клітинами. Гематоксилін та еозин. х400

Рис. 10. Інфільтрація поліморфними лімфобластними клітинами у нервову тканину попереково-крижового сплетення. Гематоксилін та еозин. х 400

Рис. 11. Атрофія фолікулів та проліферація у фолікулі бластних клітин. Гематоксилін та еозин. х 100

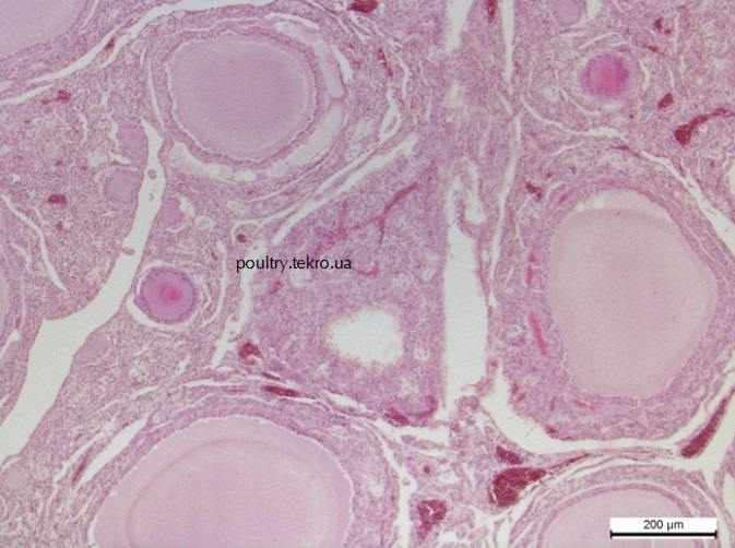
Рис. 12. Яєчник. Інфільтрація сполучної тканини фолікула поліморфними лімфобластними клітинами. Гематоксилін та еозин. х 200

Рис. 13. Перивазальна інфільтрація плеоморфними лімфобластними клітинами у корі головного мозку. Гематоксилін та еозин. х 200

Рис. 14. Некрози у центральних ділянках лімфоїдних вузликів клоакальної сумки. Міжфолікулярна тканина інфільтрована лімфоїдними та гістіоцитарними клітинами. Кисти у лімфоїдних вузликах. Гематоксилін та еозин. х 100
Діагностика. Діагноз на хворобу Марека ставлять з урахуванням епізоотологічних даних, результатів розтину трупів птиці і гістологічних досліджень уражених внутрішніх органів, ретроспективних серологічних досліджень, виділення вірусу на курячих ембріонах, в культурі клітин фібробластів ембріонів курей або на інших чутливих біологічних моделях з наступною ідентифікацією ІФА, ПЛР або шляхом електронно-мікроскопічних досліджень і постановкою біопроби на курчатах.
Лікування і профілактика. Профілактика хвороби Марека базується на суворому дотриманні ветеринарно-санітарних правил, заходів біобезпеки на господарстві, ізольованому вирощуванні курчат від птиці інших вікових груп, зведенні до мінімуму можливості одночасного зараження курчат вірусами хвороби Марека і лейкозно-саркомної групи.
Для специфічної профілактики хвороби Марека використовують різні вакцини, ефективність яких залежить не тільки від титру вірусу, а й від здатності вірусу приживатися в організмі курчат. Тому, що тільки за умови реплікації вірусу формується напружений клітинний імунітет проти хвороби Марека. Для з'ясування, чи реплікується вакцинний вірус в організмі курчат, на 3-10 день після вакцинації проводять його виділення. Відсутність вакцинного вірусу в ізолятах вказує на недостатню ефективність вакцинації.
Ольга Щебентовська, к.вет.н., консультант чеської компанії «ТЕКРО»





