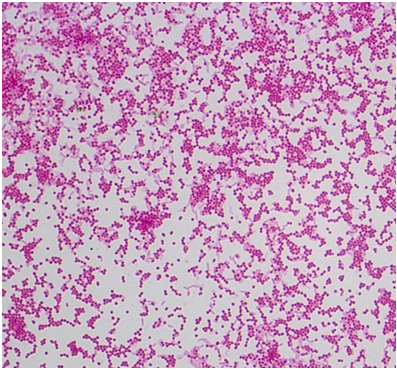
представників роду Staphylococcus з групи так званих «коагулозо-негативних» стафілококів, які раніше вважалися непатогенними. До них відносять S. xylosus, S. cohnii, S. simulans, S. capitis. Назва роду Staphylococcus пояснюється морфологією бактерій, які в пофарбованому за Грамом мазку схожі на виноградні грона (рис. 1).
S. aureus – грампозитивні, нерухомі бактерії, сферичної форми, діаметром 0,8-1,0 мкм, розташовані в мазках поодиноко або парами у вигляді скупчень, що нагадують виноградне гроно. S. aureus утворює пігмент золотистого кольору. Факультативні анаероби, культивуються при 35-40 °С і pH 7,0-7,5. Ферментують лактозу і маніт з утворенням кислоти, а в анаеробних умовах - глюкозу. При вирощуванні на середовищі з глюкозою утворюють ацетон. Відновлюють нітрити до нітратів або газоподібного азоту. Продукують коагулазу і некротоксин, культивуються на МПА і МПБ.
Стафілококи дуже стійкі в зовнішньому середовищі, особливо в запальному ексудаті. Довго зберігають життєздатність на твердих поживних середовищах, терморезистентні. Достатньо стійкі до дії дезінфіктантів, полірезистентні до антибіотиків.
Рис. 1. Грам позитивні стафілококи, отримані із жовткового мішка, культивовані на середовищі МПА

Епізоотологія
Сприйнятливі всі види птиці, ссавці та людина. Джерелом інфекції є хвора і перехворіла птиця-бактеріоносій. Зараження найчастіше відбувається аерогенним шляхом, а також аліментарно і через пошкоджену шкіру. При використанні для інкубації контамінованих стафілококами яєць відбувається перезараження курчат у вивідних шафах і, як наслідок цього, у 80-90% курчат 3-10-денного віку на слизовій оболонці дихальних шляхів можна виділяти патогенні стафілококи. Серед курчат старшого віку і дорослих курей частота бактеріоносійства патогенних стафілококів коливається в межах від 1 до 20 %.
Патогенність штаму стафілокока визначається його здатністю синтезувати і екскретувати високоактивні екзотоксини і ферменти. Гемолітичні екзотоксини: альфа-, бета-, гамма- і дельта-гемолізини мають еритро-, лейкоцито- і тромбоцитолізуючу дію. Гемотоксини здатні лізувати мембрани клітин еукаріотів, проявляють дерматонекротичні властивості, а також здатні викликати захворювання, що закінчуються загибеллю.
Виникненню хвороби сприяють:
- вологість в приміщенні;
- різка зміна температури навколишнього середовища;
- підвищена концентрація аміаку та інших шкідливих речовин в повітрі пташника;
- перевищення норми щільності посадки курчат, об'єднання птиці, особливо різновікових груп в одному приміщенні;
- напружена схема імунізації птиці живими вакцинами;
- широке і безсистемне застосування, а іноді і зловживання антибіотиками, що сприяє розвитку дисбактеріозу.
Однією з важливих причин виникнення стафілококозу є порушення загальної природної резистентності, а також зниження місцевого імунітету, оскільки в контролі за формуванням аутофлори провідну роль відіграють специфічні та місцеві імунні реакції організму.
Часто складно діагностувати дане захворювання, оскільки протікає воно в асоціації з мікоплазмозом, хронічним пастерельозом, рео- і аденовірусною інфекцією, хворобою Гамборо.
У людини викликати отруєння можуть до 50 % типових і атипових штамів S. aureus, виділених від птиці, які продукують ентеротоксини. Харчові отруєння стафілококами обумовлені споживанням м'яса птиці, контамінація якого дуже часто відбувається вже в процесі обробки тушок в забійному цеху.
Клінічні ознаки
Форма прояву стафілококозу, в значній мірі, залежить від віку птиці. Гострий септичний перебіг хвороби зустрічається у курчат молодого віку з ознаками атаксії та слабкості кінцівок з щоденним відходом 2-5 % від загального поголів'я в пташнику. Сумарна смертність за період перехворювання може коливатися в межах 3-15 %. У курчат перших днів життя відмічають омфаліти, пуповина буде містити ексудат, пупкове кільце і прилеглі ділянки черевної стінки набряклі з ціанотичним відтінком.
Підгостра або хронічна форма стафілококозу протікає у курчат середнього віку та курей-несучок з ураженнями дихальних шляхів (респіраторна форма) та / або з ураженнями суглобів ніг і крил. При ураженні суглобів відзначають їх збільшення, підвищення місцевої температури, болючість, що обумовлює кульгавість. Іноді можна спостерігати розвиток везикулярно-некротичного дерматиту. В курей-несучок знижується відсоток яйцекладки на 5-20 %, збільшується кількість незаплідненого племінного яйця.
Патогістологічні зміни
При гострій септичній формі виявляють крапкові крововиливи на слизових оболонках, катаральний ентерит, катаральну пневмонію, гіперемію паренхіматозних органів, в окремих випадках збільшення печінки і нирок, серозний перикардит.
Можуть уражатися суглоби опорно-рухового апарату, а також підошви ніг і пальців. На початку хвороби суглоби щільні, гарячі, болючі, зі скупченням синовіальної рідини. Пізніше, внаслідок скупчення серозно-фібринозного ексудату - флюктуючі. При розтині суглобової порожнини виявляють ерозію суглобового хряща. У важких випадках можливе розплавлення окремих ділянок кісток, прилеглих до ураженого суглоба, розвиток периартикулярного фіброзу або анкілозу, які обумовлюють втрату рухливості суглобів і атрофію м'язів ніг.
При шкірній формі стафілококозу на ділянках тулуба і голови, де менше пір’я (частіше на грудинці, стегнах і під крилами) спочатку відзначається серозно-геморагічний ексудативний діатез, потім розвиваються гангренозно-геморагічні ураження, формуються струпи, після відторгнення яких залишаються ділянки з ерозіями.
При респіраторній формі може відзначатися набряк, крапкові крововиливи, відкладення фібрину на слизових оболонках гортані і трахеї.
При стафілококової септицемії характерними є некрози та судинні розлади у багатьох паренхіматозних органах, включаючи печінку, селезінку, нирки і легені.
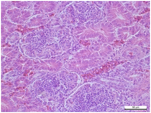
Рис. 2. Печінка. Розширення та переповнення кров’ю синусоїдних капілярів, центральної вени та скупчення колоній мікроорганізмів. Гематоксилін та еозин. х 400

Рис. 3. Печінка. Ареактивне вогнище некрозу гепатоцитів. Гематоксилін та еозин. х 400

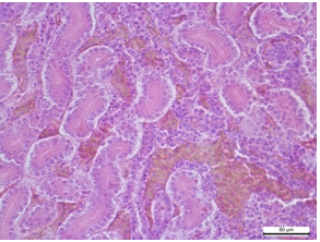
Рис. 4. Нирка. Мезенгіально-проліферативний гломеруліт. Гематоксилін та еозин. х400

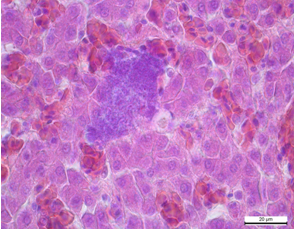
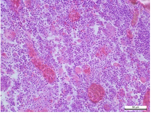
Рис. 5. Печінка. Колонії мікроорганізмів. Гематоксилін та еозин. х 900

Рис. 6. Нирка. Інтерстиціальний нефрит. Гематоксилін та еозин. х400

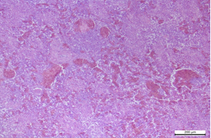
Рис. 7. Тимус. Розширення та переповнення кров’ю судин. Гематоксилін та еозин. х400

Рис. 8. Фабрицієва бурса. Розростання сполучнотканинної строми між лімфоїдними фолікулами. Гематоксилін та еозин. х 200

Рис. 9. Селезінка. Гостра застійна гіперемія, атрофія лімфоїдних фолікулів. Гематоксилін та еозин. х 200

Отже, патогістологічні зміни в печінці, а саме:
- ареактивні некротичні вогнища та скупчення мікроорганізмів,
- лімфоїдне виснаження імунних органів,
- розлади гемодинаміки (гостра гіперемія),
- мезенгіально-проліферативний гломеруліт,
- інтерстиціальний нефрит
часто вказують на розвиток інфекції, викликаної бактеріальними мікроорганізмами з роду Staphylococcus.
Діагностика
Діагноз ставлять на підставі епізоотологічних даних, результатів патолого-анатомічного розтину, бактеріологічних досліджень, а також постановки біопроби. Для дослідження направляють трупи хворої птиці, ембріони останніх днів інкубації, серце, трубчасту кістку, паренхіматозні та інші уражені органи і тканини. Патологічний матеріал можна консервувати в 30% розчині гліцерину, або відразу ж після взяття заморожувати, попередньо помістивши в поліетиленові пакети або спеціальні контейнери і транспортувати в термосі з льодом.
Виділення стафілококів з патологічного матеріалу проводять на МПБ, МПА, з пересівом добових культур на селективні середовища, в тому числі на молочно-сольовий агар (MCA) або жовтково-сольовий агар (ЖСА).
Для підтвердження приналежності виділених культур до сімейства Staphylococcaceae використовують тест на наявність каталази. Характер росту виділених культуру на селективних поживних середовищах (MCA і ЖСА), морфологія бактерій, здатність ферментувати глюкозу в анаеробних умовах і проявляти гемолітичну активність дозволяють підтвердити їх приналежність до роду Staphylococcus. Для ідентифікації виділених стафілококів використовують ПЛР.
Ретроспективна діагностика стафілококозу проводиться методом ІФА. Для експрес діагностики харчових інтоксикацій використовують імунохімічні методи виявлення стафілококових ентеротоксинів у РДП, латекс-аглютинації, ІФА, РІА і ін.
Біопробу проводять на курчатах добового віку шляхом внутрішньом'язового або інтраорбітального зараження; на білих мишах, яких заражають підшкірно або на кроликах.
Патогенні штами стафілококів викликають 75-100% загибель курчат протягом 3-5 днів після зараження. При розтині трупів відзначають нерозсмоктаний жовток зеленуватого кольору, набряк легень, пневмонію, некротичні вогнища в нирках.
Для профілактики стафілококозу обов'язковою є якісна дезінфекція інкубаційних яєць, повітря у вивідних шафах, а також постійний мікробіологічний контроль.
Ольга Щебентовська, к.вет.н., консультант ТОВ «ТЕКРО»





