проведення комплексних заходів щодо усунення біологічних шкідників, дотримання правил біобезпеки та проведення ефективної дезінфекції приміщень де утримується птиця, здійснення профілактичних обробок самої птиці, з метою зменшення її сприйнятливості до інфекцій.
Рід Salmonella (родина Enterobacteriaceae) включає більше ніж 2300 різних сероваріантів. За даними останніх токсонометричних досліджень було встановлено, що всі сальмонели згруповані у п'ять підродів, а відмінності між серотипами часто носять лише епізоотологічний характер.
Пулороз і тиф домашньої птиці дуже подібні за клінічними проявами та епізоотологією, тому контроль і заходи щодо боротьби з цими хворобами також мають багато спільного. Шлях передачі збудника, найчастіше - трансоваріальний (через яйце).
Збудники S. pullorum і S. gallinarum відносять до сімейства Enterobacteriaceae, які мають чітко визначеного господаря, відносяться до нерухомих представників роду і належать до серологічної групи D. Обидва мікроорганізми – це грамнегативні тонкі палички, факультативні анаероби, спори не утворюють. Добре ростуть на м'ясопептонному агарі або бульйоні за температури 37 °С. Крім того, ростуть на селективно збагачених середовищах типу селеніта-F, середовищі Мак Конки, вісмут-сульфітному агарі та середовищі Радж-Ханса. За своїми біохімічними властивостями S. pullorum і S. gallinarum дуже схожі. Обидва організми можуть ферментувати арабінозу, декстрозу, галактозу, манітол, манозу, рамозу і ксилозу до утворення кислоти з виділенням або без виділення газу. Речовини, які вони не можуть ферментувати, включають лактозу, сахарозу і саліцин (рис. 1). Важливою біохімічною відмінністю між цими двома мікроорганізмами є те, що S. gallinarum ферментує дульцитол, а S. pullorum ні; а також не завжди ферментує мальтозу.

Рис. 1. Біохімічні властивості S. pullorum – не ферментує сахарозу і лактозу
Смертність від пулорозу, зазвичай, обмежується птицею 2-3-тижневого віку, хоч у літературі можна зустріти дані про спалахи гострих інфекцій у більш старших курчат, особливо серед курей-несучок.
Джерелом інфекції є хвора птиця, яка через інфіковані яйця передає збудника S. pullorum і S. gallinarum. Передачі збудника може також сприяти канібалізм, поїдання заражених яєць і пошкодження шкіри. Фекалії інфікованої птиці, контаміновані корми, вода і підстилка також є джерелами інфікування, як S. pullorum так і S. gallinarum. Механічними розповсюджувачами хвороботворних організмів можуть бути також дикі птахи, ссавці і мухи.
Клінічні ознаки Якщо курчата вилупилися вже з інфікованих яєць, то вони будуть слабкі, навколо клоаки відзначають налипання білих вапняних мас. Згодом такі курчата гинуть, а ті, які залишились жити відстають у рості, слаборозвинені і погано оперені, зазвичай, залишаються носіями інфекції.
У інфікованої дорослої птиці можуть бути відсутні будь-які клінічні ознаки хвороби. Гострі спалахи інфекції можуть починатися раптовим зниженням споживання кормів, а сама птиця буде пригнічена, пір’я скуйовджене, гребінці бліді і нахилені. Інші ознаки це зниження продуктивності, різке зменшення кількості яйця, виводимості курчат, анорексія, пронос, депресія і дегідратація.
Смертність від пулорозу може варіювати від 10 до 90 %. Найбільших економічних втрат зазнають господарства в період між 3 і 4 тижнями життя курчат.
Патологоанатомічні зміни На розтині 10 добових курчат в грудочеревній порожнині можна виявляти невелику кількість мутної жовтуватої рідини, а також жовтковий мішок, який не розсмоктався. Легені дещо збільшені, яскраво червоного кольору. Під плеврою сірувато-білі щільні ділянки, розміром у просяне зерно. На серці, під епікардом також виявляють невеликі сірувато-білі вогнища некрозу.
Печінка – незначно збільшена, світло або червоно-коричневого кольору з дрібними крововиливами під капсулою або сірувато-білими, іноді з жовтуватим відтінком вогнищами міліарних некрозів. Нирки переважно збільшені, дряблі з переповненими кров’ю судинами. Селезінка збільшена у два рази, з поверхні капсули також проглядаються сірувато-білі вогнища, величиною в макове зерно. Пульпа темно червоного кольору, дрябла. Сліпа кишка може містити казеозні маси.
У деяких курей, особливо носіїв інфекції, можуть бути відсутні клінічні ознаки захворювання. У курей-несучок, найчастіше уражаються яєчники. Уражені фолікули можуть містити маслянисті і казеозні маси, дистрофічно змінені фолікули часто мають ніжку, завдяки якій потрапляють у черевну порожнину. Дисфункція яєчників і яйцепроводів часто призводять до черевної овуляції або защемлення яйцепроводів, що викликає перитоніт, а також утворення спайок в черевній порожнині. На розтині такої птиці часто виявляють фібринозний перитоніт, перигепатит і перикардит. Зміни в перикарді, епікарді будуть залежати від тривалості хвороби. У деяких випадках перикард стає напівпрозорим, кількість перикардіальної рідини збільшується, а сама вона стає мутною. На більш пізніх стадіях хвороби перикард потовщується і стає непрозорим, кількість перикардіальної рідини значно збільшується.

Рис. 2. Фібринозний перигепатит у 10 добового курчатка

Рис.3. Міліарні некрози на печінці 10 добового курчатка

Рис. 4. Жовтковий перитоніт у курки-несучки 210 денного віку

Рис. 5. Дрібні некрози під капсулою селезінки. Курка-несучка 210 денного віку
Гістологічні зміниЩодо мікроскопічних змін при пулорозі або тифі курей, то інформації є дуже мало. Більшість описаних змін носять змішаний характер, і пов’язано це з тим, що на практиці дане захворювання діагностують вже тоді, коли відбувається ускладнення іншими бактеріальними або вірусними інфекціями.
При гістологічному дослідженні легень курей-несучок, які загинули від сальмонельозу виявляли ділянки некрозу з бактеріальними емболами, гіперемію судин, гемо та плазмостази. Повітроносні капіляри і парабронхи заповнені серозною рідиною з великою кількістю клітин епітелію або еритроцитів.
В серцевому м’язі, найчастіше відзначають гіперемію, розрихлення і набряк стінок судин, бактеріальну емболію та дрібнофокусну лімфоїдно-гістіоцитарну інфільтрацію. В м’язових волокнах – зернисту і жирову дистрофію. При хронічному перебігу захворювання відмічають некроз міофібрил, а також інтенсивну лімфоцитарну та гістіоцитарну інфільтрацію.
В печінці – гіперемію, в дрібних судинах скупчення бактеріальних ембол, зернисту, вакуольну або жирову дистрофію гепатоцитів з ареактивними некрозами, накопичення фібрину та інфільтрацію гетерофільними лімфоцитами.
Мікроскопічні зміни в яєчниках характеризуються значними крововиливами, гемо та плазмостазами, периваскулярними лімфоїдно-гістіоцитарними інфільтратами, великою кількістю мікроорганізмів.
При важкому гнійно-гранулематозному запаленні яйцеклітин виявляють інфільтрацію гетерофілами разом із фібрином, бактеріальними колоніями в коагульованому матеріалі жовтка. Сам жовток, у свою чергу, оточений шарами гігантських клітин, макрофагами, плазмоцитами та гетерофільними лімфоцитамии.

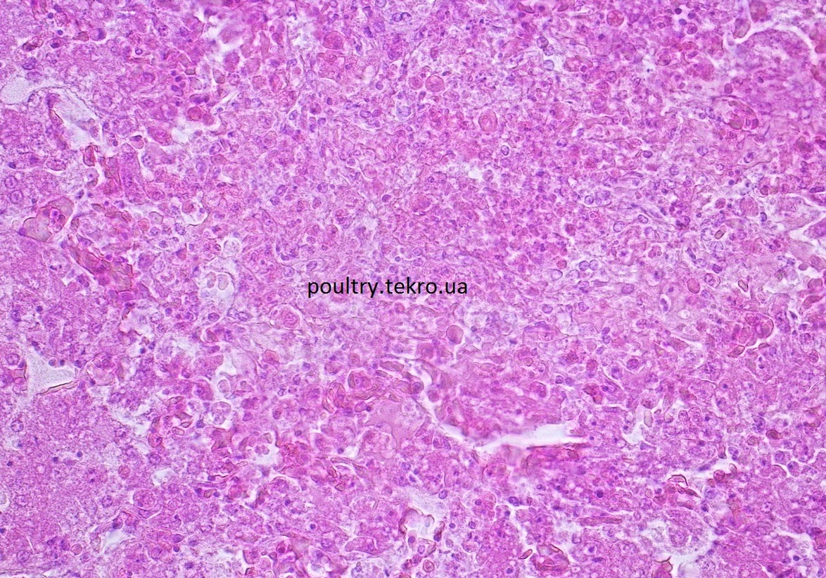
Рис. 6. Печінка. Вакуольна дистрофія гепатоцитів з ареактивними некрозами. Гематоксилін та еозин. Ок. 10, об. 40
Рис. 7. Печінка. Гіперемія. Інфільтрація гетерофільними лімфоцитами. Фокальні вогнища некрозу. Гематоксилін та еозин. Ок. 10, об. 20
ДіагнозОстаточний діагноз на пулороз або тиф курей може бути поставлений після виділення та ідентифікації S. pullorum або S. gallinarum. Попередній діагноз ставиться на підставі аналізу клінічних ознак, загибелі птиці та патологоанатомічних змін в органах і тканинах. Позитивні серологічні реакції можуть мати вирішальне значення при підтверджені даного захворювання.
Диференціальний діагноз. Клінічні симптоми та ураження внутрішніх органів при пулорозі та тифі курей не є специфічними. При інших інфекційних хворобах, що викликаються сальмонелою, можуть спостерігатися такі ж ураження печінки, селезінки, серця та кишечнику. Слід диференціювати дане захворювання від таких, як: Mycoplasma synoviae, Staphylococcus aureus, Pasteurella multocida або Erysipelothrix rhusiopathiae.
Крім того, птиця будь-якого віку може бути безсимптомним носієм S. pullorum або S. gallinarum. Саме тому, слід проводити виділення та ідентифікацію даних бактерій.
Щебентовська Ольга, к.в.н., кафедри нормальної та патологічної морфології і судової ветеринарії ЛНУВМ та БТ імені С.З. Ґжицького, науковий консультант ТОВ «ТЕКРО»
Туманов Володимир, науковий консультант ТОВ «ТЕКРО»





